QUOTE(kentcp @ Feb 28 2009, 02:16 AM)
wow.. within a day so many post..
just asnwer to some of you asked me question..
I weared my Braces on 14 Jan 2008, Dr. How told me that I can de-braces around Jul/Aug this year.
I was weared the power chain to pull from screw to braces (@upper jaw) for about 4 months (installed on Sep 2008, remove on Jan 2009) and addition metal string on the lower jaw for about 2 months (installed on Sep 2008, remove on Nov 2008)
Not really pain on the power chain la.. can tolerate one..i think the pain is almost same when Dr. re-position the braces..ya..it will painful than just change string..
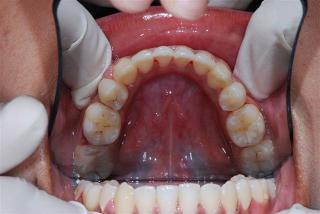
Although already 14 months, i am still can't use my front teeth to cut food (except soft food like sotong ball). So, same like most of u, i cut the food to small and "send" the food to my back teeth to chew it..
wah then correct la...i thought me the only one cant bite with my front teeth...scare me...yay...then how la u all eat burger?..tapao go home and cut?..or eat at mcD there itself?...lolz...my bite stop is still there...got 3 there...but not so thick already...smaller a bit but still...uncomfortable la...plus that rubber band "bear" and parrot"...macam macam la in the mouth hanging at your teeth...shrugz...brush teeth at nite also take freaking 20 mins...argh...just asnwer to some of you asked me question..
I weared my Braces on 14 Jan 2008, Dr. How told me that I can de-braces around Jul/Aug this year.
I was weared the power chain to pull from screw to braces (@upper jaw) for about 4 months (installed on Sep 2008, remove on Jan 2009) and addition metal string on the lower jaw for about 2 months (installed on Sep 2008, remove on Nov 2008)
Not really pain on the power chain la.. can tolerate one..i think the pain is almost same when Dr. re-position the braces..ya..it will painful than just change string..
Although already 14 months, i am still can't use my front teeth to cut food (except soft food like sotong ball). So, same like most of u, i cut the food to small and "send" the food to my back teeth to chew it..

Feb 28 2009, 09:09 AM

Quote
0.0379sec
0.24
6 queries
GZIP Disabled