QUOTE(kentcp @ Jun 22 2009, 10:16 PM)
Using your bargain skill ya ~~
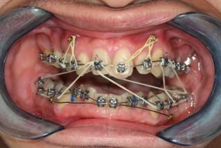
I failed to bargain... Dr. How said RM5.6k for your case was introductory price and it was 2 yrs ago. Now it is RM6k already. 1 cent also cannot reduce. Anyway, I still decided to go for it. I got my upper set of teeth done last night. Now I'm officially in this Bracesians club already.Btw, Kenny, Dr. How told me that you were interviewed by reporter and your case will be in newspaper soon. Mind to share with us what is it all about?
I also asked Dr. How about Daemon 3 and Daemon MX. I notice that he used these 2 terms interchangeably. Are they the same actually? At first he said he'll do Daemon MX for me. After a while, he said it's Daemon 3. Although the braces is already in my mouth, but I'm not sure whether it's 3 or MX. Sigh...
Besides, Dr. glued the braces at lower part of my teeth. This makes the braces visible even when i'm not smiling. Is this normal? Does anyone know the reason for this?
I was also told that it might be very painful and I might need painkiller. However, after 15 hours of having the braces on, I don't really feel painful. I only feel slightly pain when I try to bite. Is this normal?
p/s: who are the guy who pretend as girl you all are talking about? Just out of curiosity...
This post has been edited by karynkhoo: Jun 23 2009, 04:19 PM

Jun 23 2009, 11:13 AM
Quote
0.0272sec
0.79
6 queries
GZIP Disabled