Welcome Guest ( Log In | Register )

Outline · [ Standard ] · Linear+

 Everything About Your Gigi, Anything related to teeth or dentistry

views
     
murv90
post Mar 3 2019, 01:22 PM

On my way
****
Senior Member
628 posts

Joined: Feb 2010
QUOTE(frontierzone @ Mar 2 2019, 08:16 AM)
Is there such thing as a upper wisdom erupted normally is too hard to do filling because of its position being the last?
*
Hi,
Yes unfortunately there is such a thing. It highly depends on the position and condition of the said teeth. If its unfavourable and filling is still done it's not going to stay there for very long and will come off.
murv90
post Mar 6 2019, 11:27 AM

On my way
****
Senior Member
628 posts

Joined: Feb 2010
QUOTE(Bunny.Hitam @ Mar 4 2019, 11:07 AM)
Hi Guys, i got issue with my teeth. Seems like my teeth is so fracture. Last time i ate kambing bakar at seoul garden. Then accidently fracture my front tooth. Went to dentist, got it repaired. But she did warn me to not eat any keras food. My question is do my teeth got Calcium issue ? Right now im taking Caltrate (a calcium supplement) on daily basis.
*
Hi,

Can't really say if it has any issues with calcium, how old are you? And are you taking calcium supplements for sole purpose of strengthening your teeth?
murv90
post Mar 19 2019, 05:09 PM

On my way
****
Senior Member
628 posts

Joined: Feb 2010
QUOTE(fookhing @ Mar 19 2019, 03:52 PM)
Do government clinics use ultrasonic scalar or manual scalar?
*
Ultrasonic scalers, most are using ultrasonice only nowadays
murv90
post Mar 21 2019, 10:43 AM

On my way
****
Senior Member
628 posts

Joined: Feb 2010
QUOTE(fookhing @ Mar 20 2019, 07:58 AM)
I realised that my second lower molar have Overhanging Dental Restoration where the floss will go into a 'crackline' when floss is pulled up from the distal side.

Restoration was done 7 years back (a second deep restoration I believe as the first restoration many years back failed or cracked and had to be redone).

Over years I feel sensitivity at gumline distal side of this tooth. Now I read that ODR can cause periodontal problems around the tooth or even decay.

I told my dentist 2 years back about this sensitivity she tried probing the biting surface and told me the filling is ok. I did not research about this ODR at that time so I couldn't tell her this.

So what should I do about this tooth? If I go back and tell them about ODR, can they detect it with their probe?
*
Do you still have your wisdom tooth behind that second molar? Mostly by probing by itself can't detect if there's an overhang or a crack on the distal side.

My advice is to get a X-ray done where the overhang could be visualised/any other problems could be detected.
murv90
post Mar 28 2019, 09:52 AM

On my way
****
Senior Member
628 posts

Joined: Feb 2010
QUOTE(Lada Putih @ Mar 27 2019, 04:49 PM)
hi im having a one hell of a paintrain on my front teeth
at first it was a sharp piercing pain when i drain soup this morning
now it's a dull ache and sometime pulsating when i walk up and down the stairs

now that front teeth is sensitive and theres a dull pain sensation if i were to tap it lightly

the particular teeth, the back has chipped and is filled with normal fillings
that was during last christmas,
now its march, im wondering if its further decay and wonder
if i should get a new fillings?
or should i get a root canal done and have a veneer? (the cracked/chipped part is at the back of the front teeth)
or should i get a crown done (but most of my teeth structures are still around aside a small part at the back

is there a way to save the teeth without pulling it out?
how do i treat the pain sensation at the moment
*
Hello, do you have any nocturnal pain? It is highly unlikely there's further decay this early since you claim the filling was done 3 months ago(unless there was caries left behind and the filling was done)

Just based on your statement most likely looks like a microleakage/broken restoration.

Without further X-ray or clinical examination I can't give you further answers.

If its a case of microleakage/broken restoration a simple filling again would suffice.

Hope that helps smile.gif
murv90
post Mar 28 2019, 10:13 AM

On my way
****
Senior Member
628 posts

Joined: Feb 2010
QUOTE(Lada Putih @ Mar 28 2019, 09:54 AM)
Thank you for your response

Yes I have nocturnal pain
And woke up with a sore gum allover
As if my entire left side of my face teeth wants to fall off
I'll be walking in a clinic now
And hope I don't need a root canal and a simple fix up on that tooth of mine
Hopefully nothing major
*
Let's hope for the best biggrin.gif do keep us posted what happens


murv90
post Apr 9 2019, 07:59 AM

On my way
****
Senior Member
628 posts

Joined: Feb 2010
QUOTE(miyakochan89 @ Apr 8 2019, 03:26 PM)
Hey all. I have a serious inflammation since last Thursday. Till now my right cheek is swollen. I have a feeling that it's my partially out wisdom tooth is causing the problem now. And also the gum half covering it. I went to the dental and she said she couldn't do anything except giving me antibiotics and painkillers. She did however do x-ray though, and I could see that they are very straight. Is it necessary to pull them out? Cause that's what she suggested. I have needle phobias so I don't know what to do about this.
*
Hello,

From what you're describing seems like you have pericoronitis/pericoronal abscess. And if what you're saying is right that the teeth is straight, you might consider for operculectomy instead of removing it, but I can't say for sure until I have a look at the x-ray.


murv90
post Apr 9 2019, 10:47 AM

On my way
****
Senior Member
628 posts

Joined: Feb 2010
QUOTE(miyakochan89 @ Apr 9 2019, 09:13 AM)
The doctor didn't provide me a copy unfortunately.
*
Hello,

Most dental clinics do not provide a patient copy nowadays. You can always request to take a picture of the x-ray with your phone.
murv90
post Jan 23 2022, 09:00 PM

On my way
****
Senior Member
628 posts

Joined: Feb 2010
QUOTE(Wh0cares2 @ Jan 16 2022, 10:25 PM)
Is drinking Milo causes stain like coffee & tea ?
*
Hi there,

Highly depends on the quantity frankly, it would need a large quantity of milo drinking at regular intervals to get staining on your teeth.
murv90
post Jan 23 2022, 09:04 PM

On my way
****
Senior Member
628 posts

Joined: Feb 2010
QUOTE(w3sley @ Jan 18 2022, 11:18 PM)
Hi Dr Gigi! notworthy.gif

Which better, laser whitening or light-activated whitening? Will this process thin the tooth?

Also, what whitening brand and how many cycles are recommended? Why?

Thank you in advance for your time!
*
Hello,

Both work quite similarly. Whitening process doesn't thin your teeth but will make it sensitive for a short period of time.

Whitening brand usually varies from dentists and their comfort brand, generally Beyond, Phillips Zoom & Opalescence gives good results in my experience smile.gif
murv90
post Jan 24 2022, 09:19 PM

On my way
****
Senior Member
628 posts

Joined: Feb 2010
QUOTE(Leto @ Jan 24 2022, 08:44 AM)
please suggest what do you is the best one? also how much roughly would it cost?
*
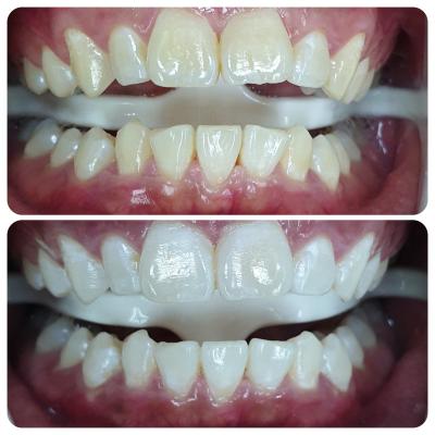
Personally as of recent I've been using Beyond whitening and been getting consistently good results with it. Different dentists may or may not have or use the same brand.

I've attached a result photo of what is to be expected with Beyond whitening, it is my personal patient photo.

Hope it helps smile.gif


Attached thumbnail(s)
Attached Image
murv90
post Jan 25 2022, 07:00 PM

On my way
****
Senior Member
628 posts

Joined: Feb 2010
QUOTE(w3sley @ Jan 25 2022, 12:59 PM)
Any experience with blancone or pola office?

Thank you
*
Yep, still use blancone currently, not a fan of both since results are usually subpar.

We usually offer blancone if someone are looking for a more economical whitening procedure.
murv90
post Feb 15 2022, 11:48 PM

On my way
****
Senior Member
628 posts

Joined: Feb 2010
QUOTE(zuozi @ Feb 14 2022, 09:59 PM)
Extraction wisdom tooth public or private?

Have 2 tooth right side RM 1k other side RM 700 , if public how much is a cost?

Thank
*
Hello,

The prices that you state are fairly reasonable for wisdom tooth removal by surgery in a private clinic, this of course can vary widely depending on which clinic that you visit and what is the condition of your wisdom teeth.

If you want to consider the government route, the fee for surgical removal of wisdom tooth will be Rm50. But as always expect a delay in your treatment and probably being referred to a specialist in a public hospital as not all public government clinics are equipped for wisdom tooth surgery.

Therefore, if you want it fast and comfortable, do it in private, if you have time and don't mind going for few appointments in a span of few months to have it removed cheaper then government clinic/hospital is the way to go.

Hope that answers your question. smile.gif
murv90
post Feb 16 2022, 11:24 PM

On my way
****
Senior Member
628 posts

Joined: Feb 2010
QUOTE(zuozi @ Feb 16 2022, 02:45 PM)
Thank for the reply 😊

If public how about their experience compare to private? Since involved Minor surgical trainees perform or actual dentist doctor perform 😂

I have been told public have more latest equipment compare to private this is why I thinking go for public

If public go and back waiting time how long it'll take? few months? year?

can i request specific day or they'll arrange any slot available for the day only and without option to choose the day I want 🙂
*
Usually actual dentists will perform your minor surgery, but sometimes depending on your luck you may get an inexperienced dentist that will be guided by another senior dentist to perform your minor surgery.

As for equipments, personally I feel private clinics will have better equipments but that also really depends on which clinic that you go to. Some private dentists do use older equipments/no x-rays.

It used to be a couple of months 2-3months pre-covid, I'm not entirely sure right now, but safe to say it could take longer as they limit the number of patients seen in government clinics/hospitals.

Mostly that'll be the case they will give you the earliest available date with no chance to choose which dates that you want.
murv90
post Feb 19 2022, 10:02 AM

On my way
****
Senior Member
628 posts

Joined: Feb 2010
QUOTE(bootmod3 @ Feb 17 2022, 10:34 AM)
Saw somewhere that when you brush your teeth, you're not supposed to rinse your mouth but just spit the toothpaste residue only. However, I've been rinsing my mouth since childhood. Which is the correct practice?
*
This came up due to the effects of fluoridated toothpastes which will require more time in contact with tooth surface for it to fully work rather than the 2 minutes or so that we brush and completely rinse off the tooth paste.

Therefore to answer your question, the correct way is to only spit and not rinse, although me personally I prefer a single really light rinse.
murv90
post Apr 5 2022, 09:41 PM

On my way
****
Senior Member
628 posts

Joined: Feb 2010
QUOTE(Tingwc84 @ Mar 21 2022, 10:36 PM)
Any recommendations of klinik pergigian (public one) that can do root canal retreatment? I stay in Subang Jaya.
*
Hello,

I think the nearest dental clinic to subang jaya would be in kelana jaya, but highly unsure if they will take up root canal treatment, they might refer you to the nearest specialist dental clinic for root canal.

Any particular reason you're looking for government clinic to get your root canal done?
murv90
post Apr 5 2022, 09:42 PM

On my way
****
Senior Member
628 posts

Joined: Feb 2010
QUOTE(Chastain @ Mar 16 2022, 07:18 AM)
Morning.
Planning to buy Colgate Renewal. Which one should I get?  rclxub.gif

» Click to show Spoiler - click again to hide... «

The last one has a decent review

» Click to show Spoiler - click again to hide... «

*
Hello,

My advice would be to stay away from these whitening toothpastes as with frequent and prolonged use combined with improper brushing technique might cause excessive wear on your tooth surface

Hope that helps smile.gif
murv90
post Apr 5 2022, 09:43 PM

On my way
****
Senior Member
628 posts

Joined: Feb 2010
QUOTE(Jojolin @ Apr 5 2022, 05:03 PM)
Any advise on how to prevent tooth being shaky and eventually have to pull out? Dentists can't seem to do anything about it.
*
Hi there,

Really depends on what degree of mobility(shakiness) it is in right now, usually if its Grade III most likely it has to be extracted and replaced with a new teeth, best to get checked with a dentist beforehand to assess the overall oral health and condition before proceeding
murv90
post Apr 8 2022, 09:10 PM

On my way
****
Senior Member
628 posts

Joined: Feb 2010
QUOTE(Jojolin @ Apr 8 2022, 02:24 PM)
Thanks for reply. Periodontist is not the same as a dentist?
*
Periodontists are speacialised dentist for gums and structures surrounding the teeth

QUOTE(renmejustin @ Apr 8 2022, 07:24 PM)
What's your recommended toothpaste?
*
Any regular fully white paste only toothpaste would do the job, personally I would recommend Colgate Total but just the regular one or Systema has pretty good toothpaste too smile.gif
murv90
post Apr 12 2022, 03:50 PM

On my way
****
Senior Member
628 posts

Joined: Feb 2010
QUOTE(renmejustin @ Apr 10 2022, 03:28 AM)
So those fancy sounding ones as well as so called whitening toothpastes arent really good then?
*
Yeah most of the whitening toothpastes contains micro abrasive, so with repeated long term usage and improper brushing techniques it will start wearing down the teeth and causing them to thin out.

Just stick to the basic only white paste toothpaste will be good enough 😊

What matters is proper brushing techniques supplemented by flossing and a regular dental check up at least once a year.

3 Pages < 1 2 3 >Top
 

Change to:
| Lo-Fi Version
0.0469sec    0.51    7 queries    GZIP Disabled
Time is now: 28th November 2025 - 06:43 AM