Added on November 3, 2008, 5:27 pmHey people,
I'm back. Went for my adjustment on saturday. Dr only took 10-15 minutes and i'm done.
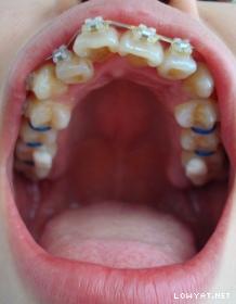
Dr says my teeth are moving very slowly. So Dr pushed 6 separator into my upper jaw. Ouch for the first night. Second day, i felt better. And today, even better...
Besides separator, dr also had me power chain for my front teeth. Its ceramic, so its not obvious. I even had a mirror in hand and ask dr. "Where is the power chain? I cant see it. What did you do?" Dr says, its ceramic so you cant see... I was like...
I also had Dr How to trim my irritating wire. Dr did it the best he can. He says if i still feel discomfort, i will have no choice but to live with dental wax.
[/quote]
oh..u have the separator ah.. i have it also on my lower teeth.. tomorrow is my next visit.. Not sure what Dr will do on me..
[/quote]
Yalor, having 6 separator now... teeth no strength now again
Oh btw, doc says that i'm good with keeping my oral hygine

Nov 4 2008, 12:04 AM

Quote
smile
upper jaw
smile
upper jaw
upper jaw
lower jaw
frontal (trying to smile)
side
0.0517sec
0.39
7 queries
GZIP Disabled